You sit in the dental chair for what you thought was a routine cleaning, and the hygienist mentions you need a “deep cleaning” instead. Suddenly you’re wondering: what’s the difference, and why does this one sound more complicated?
Regular cleanings focus on maintenance above your gum line, while scaling and root planing is a therapeutic treatment that reaches deep below your gums to treat gum disease. The difference lies in how deep the cleaning goes and what condition your gums are in when you arrive. Arch Dental helps patients understand these differences to maintain good oral health through comprehensive dental care.
Understanding the Terminology
If you’ve heard your hygienist mention scaling during a regular cleaning, you might wonder how that’s different from scaling and root planing. Both procedures involve scaling (removing tartar buildup), but the key difference is where and how deep the cleaning goes:
Regular cleaning: Scaling above the gum line (supragingival scaling)
Deep cleaning: Scaling below the gum line (subgingival scaling) plus root planing to smooth tooth roots
Think of it like house cleaning versus deep cleaning. Both involve cleaning, but deep cleaning reaches areas that routine maintenance doesn’t touch.
What Happens During a Regular Cleaning
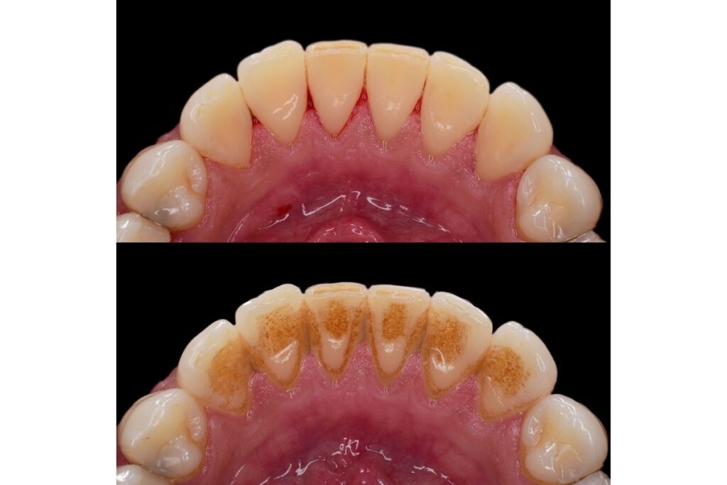
Your hygienist starts by removing plaque and tartar that have built up above your gum line since your last visit. You’ll hear the familiar scraping sound as they use special tools to clear away the hardened deposits your toothbrush can’t reach.
Next comes the polishing phase, where a gritty paste and rotating brush make your teeth feel smooth and clean. The appointment wraps up with flossing between each tooth and a fluoride treatment that tastes like mint or bubble gum.
How Often You Need This Service
Most people with healthy gums schedule these cleanings every six months. This timing helps catch problems early and prevents small issues from becoming larger ones.
Think of it like changing the oil in your car, regular maintenance keeps everything running smoothly. Your Toronto dentist can recommend if you need more frequent visits based on your individual oral health.
Scaling & Root Planing: Deep Cleaning Treatment
The Deep Cleaning Process
Scaling and root planing goes much deeper than your regular cleaning. The hygienist or dentist removes tartar and bacteria from below your gum line, reaching into the pockets where gum disease develops.
The root planing part involves smoothing the surfaces of your tooth roots. This helps your gums reattach to your teeth and makes it harder for bacteria to stick to rough spots in the future.
When This Treatment Becomes Necessary
Your dentist measures the depth of pockets around your teeth during regular exams. When these pockets measure deeper than normal, bacteria can hide where your toothbrush and floss can’t reach.
You might notice your gums bleeding more often or appearing red and swollen. Bad breath that doesn’t go away after brushing can also signal that bacteria are thriving below your gum line.

Key Differences Between These Two Procedures
Regular cleanings work on the visible parts of your teeth and slightly below the gum line. Deep cleaning reaches much further down, sometimes requiring local anesthesia to keep you comfortable during the procedure.
Your regular teeth cleaning appointment typically lasts 45 minutes to an hour. Scaling and root planing often requires multiple visits and can take two to four hours total, depending on how much treatment you need.
Recovery time also differs significantly. After a regular cleaning, you can eat and drink normally right away. Deep cleaning might leave your gums tender for several days.
Signs You Might Need Deep Cleaning
Pay attention to what happens when you floss. If your gums bleed regularly, even with gentle flossing, bacteria might be irritating the tissue below your gum line.
Bad breath that returns quickly after brushing often means bacteria are hiding in places your toothbrush can’t reach. You might also notice your gums look redder than usual or feel swollen when you brush.
Some people notice their gums seem to be pulling away from their teeth, making the teeth look longer than before. This can create deeper pockets where bacteria collect.
What to Expect After Each Treatment
Regular Cleaning Recovery
You can return to your normal routine immediately after a regular cleaning. Your teeth will feel smooth and clean, and you might notice your mouth feels fresher than usual.
No special care is needed after your appointment. You can eat, drink, and brush your teeth as you normally would.
Deep Cleaning Recovery
Your gums might feel tender or sensitive for a few days after scaling and root planing. Some people experience mild discomfort when eating or drinking hot or cold items.
Soft foods like soup, yogurt, and pasta can help you stay comfortable while your gums heal. Your dentist might schedule a follow-up visit to check how well your gums are responding to treatment.
Schedule Your Next Cleaning at Arch Dental
Understanding the difference between regular cleanings and scaling and root planing helps you know what to expect at your next dental visit. If you’re due for a routine cleaning or have concerns about your gum health, Arch Dental provides comprehensive care to keep your smile healthy.
Contact our team today to schedule your appointment at our convenient locations on King Street West and Liberty Village.
